Dicom Viewer Freeware Windows / Additionally, the app is suitable for anyone working in the health sector, and it can be helpful to them in several ways with medical image viewing, data transfers.

Dicom Viewer Freeware Windows / Additionally, the app is suitable for anyone working in the health sector, and it can be helpful to them in several ways with medical image viewing, data transfers.. Our software can be used to convert jpeg, bmp images to dicom images. It is the standard for handling, storing, printing, and transmitting information in medical imaging. Free download of 3dicom lite for macos. Zuum dicom viewer has had 1 update within the past 6 months. Analyze) and image processing functions (including volume rendering).

Our antivirus check shows that this download is safe. Advanced 3d dicom viewer for patients & practitioners. Click on a file to view it along with dicom tags, such as: Microdicom is a free dicom viewer for windows. Various tools are available which are arranged in a very clean manner on the interface.

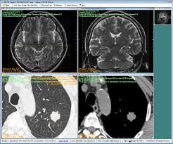
5 Dicom Viewers For Any Practice
5 Dicom Viewers For Any Practice from cdn.technologyadvice.com
Export dicom files to images, movies, clipboard and text. To unlock the program, select helpregistration from program's menu, and insert the information of the license key. Whether you are a practitioner or a patient, you can now quickly and easily convert and view your 2d radiological scans in 3d. Analyze) and image processing functions (including volume rendering). Our software can be used to convert jpeg, bmp images to dicom images. It supports dicom query and retrieve, dicom push/send, dicom. It is a very significant standard used to store, share and print such images. Download zuum dicom viewer for windows to view dicom medical digital images.

Patient name, patient id, study date and time, study id, etc.

It has easy to use interface, with the support of time frames. Prosurgical dicom viewer can also anonymize patient data, so it is also useful for researchers. Our software can be used to convert jpeg, bmp images to dicom images. Dicom viewer 6.0.310.5 is available as a free download on our software library. Various tools are available which are arranged in a very clean manner on the interface. It is one of the better known products that have a number of useful features.the freeware allows users to access such files. Agnosco is a free dicom viewer for windows, it supports opening dicom images from the local network, drives and removable media devices like usb sticks. More than a dicom viewer, athena dicom essential marks a new generation of software to view and manipulate medical images. Our antivirus check shows that this download is safe. We offer various dicom tools, both free and licensed. Patient name, patient id, study date and time, study id, etc. Click the button below to register for one of our upcoming. Ginkgo cadx is a free open source dicom viewer software for windows, linux, and macos.

To unlock the program, select helpregistration from program's menu, and insert the information of the license key. Agnosco is a free dicom viewer for windows, it supports opening dicom images from the local network, drives and removable media devices like usb sticks. Ginkgo cadx is a free open source dicom viewer software for windows, linux, and macos. Brightness and contrast adjustments, negative mode. Advanced 3d dicom viewer for patients & practitioners.

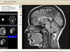
12 Best Free Windows Dicom Viewer Softwares Wpshopmart
12 Best Free Windows Dicom Viewer Softwares Wpshopmart from wpshopmart.com
It supports dicom query and retrieve, dicom push/send, dicom. One can use it for measurements as well as for annotations, for displaying of attributes, for processing of medical images, zooming and panning of dicom images and much more.they allow. Additionally, the app is suitable for anyone working in the health sector, and it can be helpful to them in several ways with medical image viewing, data transfers. Microdicom dicom viewer can export dicom images to common graphics formats and videos. It has easy to use interface, with the support of time frames. Cvviewer.exe, dcm_viewer.exe, dicom viewer.exe, dicomviewer.exe and simpleviewer.exe etc. It is one of the better known products that have a number of useful features.the freeware allows users to access such files. Ors visual lite is another free dicom image viewer with many viewing and annotation options.add a folder containing multiple dicom files or simply add a single file to open and view here.

Dicom is an acronym for digital imaging and communication in medicine, and it's a powerful free medical software that media freeware developed for windows devices.

Ginkgo cadx is a free open source dicom viewer software for windows, linux, and macos. Dicom is short for digital imaging and communications in medicine and is used for medical imaging. Click on a file to view it along with dicom tags, such as: Additionally, the app is suitable for anyone working in the health sector, and it can be helpful to them in several ways with medical image viewing, data transfers. It's a program that let users conveniently access medical data. With high performance and an intuitive interactive user interface, osirix is the most widely used dicom viewer in the world. In order to view the same, the free dicom viewer is a viable choice. Various tools are available which are arranged in a very clean manner on the interface. Miviewer can load images from any media storage to view a dicom study with all the tools needed from case navigation to image viewing. Preset window settings for computed tomography (lung, bone, etc.) ability to rotate (90, 180 degrees) or flip (horizontal and vertical) images. Works on windows, mac & linux. The most frequent installer filenames for the program include: Brightness and contrast adjustments, negative mode.

Links to dicom servers and clients Works on windows, mac & linux. Dicom is an acronym for digital imaging and communication in medicine, and it's a powerful free medical software that media freeware developed for windows devices. Preset window settings for computed tomography (lung, bone, etc.) ability to rotate (90, 180 degrees) or flip (horizontal and vertical) images. Free download of 3dicom lite for macos.

Top 25 Free Dicom Viewers For Doctors Medical Students And Health Professionals Postdicom
Top 25 Free Dicom Viewers For Doctors Medical Students And Health Professionals Postdicom from www.postdicom.com
Export dicom files to images, movies, clipboard and text. Whether you are a practitioner or a patient, you can now quickly and easily convert and view your 2d radiological scans in 3d. Radiant dicom viewer provides the following basic tools for the manipulation and measurement of images: This software allows for most diagnostic techniques, including multiplanar reconstruction, maximum intensity projections, and volume rendering. Links to dicom servers and clients Rubo medical imaging bv is dedicated to developing dicom software. In order to view the same, the free dicom viewer is a viable choice. Various tools are available which are arranged in a very clean manner on the interface.

Preset window settings for computed tomography (lung, bone, etc.) ability to rotate (90, 180 degrees) or flip (horizontal and vertical) images.

Prosurgical 3d dicom viewer for windows works only on windows 8.1 or higher versions. It supports dicom query and retrieve, dicom push/send, dicom. Our antivirus check shows that this download is safe. Various tools are available which are arranged in a very clean manner on the interface. Works on windows, mac & linux. Brightness and contrast adjustments, negative mode. This is a fast and powerful dicom viewer that is compatible even with older versions of windows such as windows vista. The features of these dicom viewer software is that they are suited for patient cds/dvds. With optimised 3d volume rendering allowing for ct, mri and pet scans to be. It has easy to use interface, with the support of time frames. It is the standard for handling, storing, printing, and transmitting information in medical imaging. Dicom viewer open source or dicom viewer online or dicom viewer download are all ways to view medical image files. Whether you are a practitioner or a patient, you can now quickly and easily convert and view your 2d radiological scans in 3d.